Blog - Page 9

La procédure de retraitement canalaire

La procédure de retraitement canalaire

Frénectomie labiale

Frénectomie labiale

Bloc osseux symphysaire

Bloc osseux symphysaire

Le syndrome d'apnées obstructives du sommeil (saos)

Le syndrome d'apnées obstructives du sommeil (saos)

Les micro-réveils nocturnes peuvent être le signe d'une apnée du sommeil avec obstruction respiratoire. Si vous êtes concerné, consultez rapidement pour retrouver un sommeil serein !

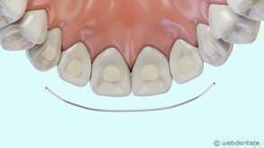
Fil de contention

Fil de contention

Conséquence de la perte des dents postérieures

Conséquence de la perte des dents postérieures

Affichage des articles 49-54 sur 199

Création par Webdentiste

Connexion